About
Blog
Appointment
Gallery
Stroqsnap
Contact
STROQSNAP
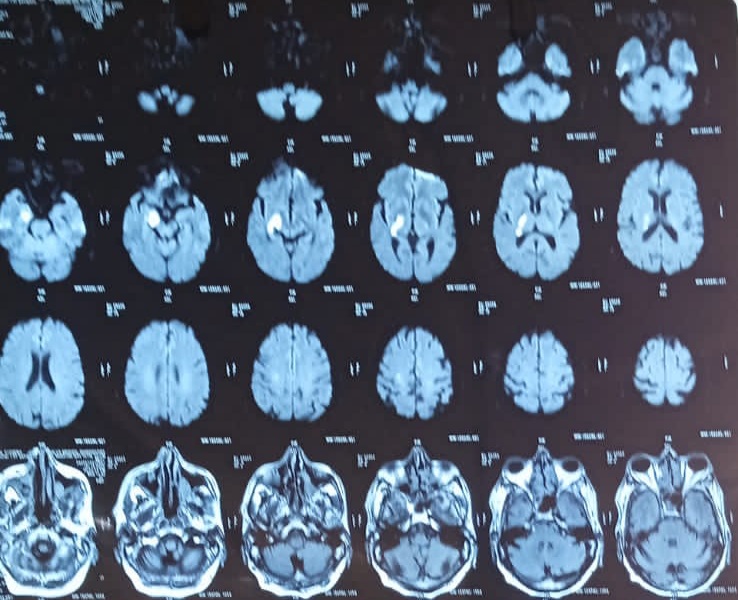
WEEK 1 : ARTERY OF PERCHERON INFARCT
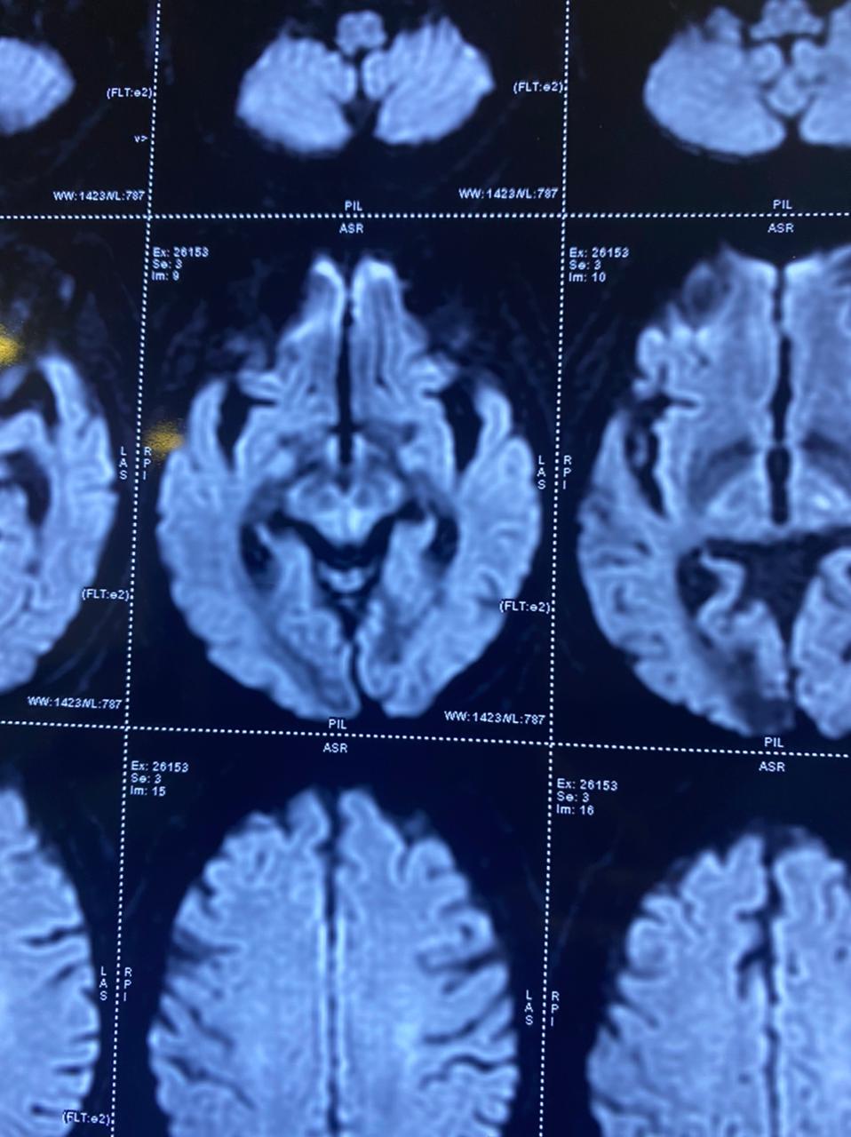
WEEK 2 : MIDBRAIN INFARCT
3RD NERVE PALSY
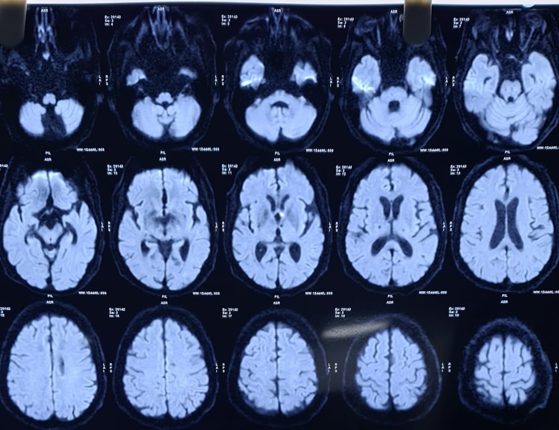
WEEK 3 : PARASAGITTAL INFARCT WITH LOWER LIMB MONOPARESIS
WEEK 4 :FORNIX INFARCT WITH ACUTE DELIRIUM
WEEK 5 :ANTERIOR CHOROIDAL ARTERY INFARCT